審美治療~美しく健康な笑顔のために
審美治療~その目的とは?
審美治療では、欠けてしまった歯並びや歯の色などを修復する際に、回りの歯の色と合わせて審美性(見た目)を回復させたり、黄ばんでしまった歯や歯ぐきを従来のような健康的な色に回復させるなどの治療を行うことで、自然に近い美しい口元にすることが可能です。
「歯を白くキレイにしたい」 とお考えの方には、白く天然の歯とほとんど変わらない「セラミック(陶材)」「ハイブリッド(硬質プラスチック)」などを使用し仕上げていきます。
患者様のご要望をお聞きしながら、治療計画を作成し、顔立ち・骨格などを詳細に検査したうえで、口元に調和した1クラス上の治療を提供します。
なお、保険外治療で使用する材料や素材は、国内の医療法に基づき、承認医薬品や承認された材料や素材を使用しています。
金属アレルギーについて~アレルギーの心配のない治療
金属アレルギーの原因は、金属が直接肌に触れることだけではありません。お口の中にある金属(インレー/クラウンなど)が唾液に溶け出し、体内に入り込むことでもアレルギー反応が出てしまいます。
金属アレルギーの予防としては、治療に金属を使用しないこと、そして治療法はアレルギーの原因となっている金属の詰め物などを取り除くことです。
金属アレルギーを持つ患者様に対しては慎重に補綴物と使用材料を選択する必要があります。そのような方に安全に治療いただくために、歯科材料として天然歯と変わらないセラミック素材(非金属材料)や、ハイブリッド・セラミック素材(セラミックとプラスチックを配合した人工歯)を使用した治療を行なっています。

【治療前イメージ画像/治療後イメージ画像】
※治療前後の画像はイメージ画像のため、個人差があります
さまざまな種類の白い人工歯
| 【ジルコニア(オールセラミックス)】 人工歯はセラミック(ノンメタル)で作られます。透明感が高く、天然歯と同じような感じになります。歯並びや歯の色を自由に変えることができ、金属アレルギーの心配もありません。 |
|
| 【メタルボンド】 支台部やフレームを金属で作り、フレームの上にセラミックを焼き付けます。歯並びや歯の色を自由に変えることができ、強度もあり丈夫です。 |
|
| 【ハイブリッド・セラミック】 硬質樹脂とセラミックを配合(ノンメタル)して作られます。歯並びや歯の色を自由に変えることができ、金属アレルギーの心配もありません。透明感はセラミックより劣ります。 ※ハイブリッド・セラミックは、詰め物(インレー)のみに使用しています。 |
|
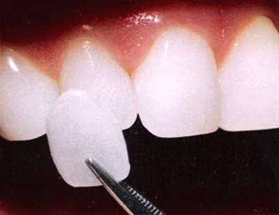
| 【ラミネートベニア】 歯の表面を薄く削り「付け爪」の感覚で、薄いセラミックを歯の表面に貼り付けることにより、理想的な色・大きさ・バランスで前歯を作り上げます。 |
![]() |




