インプラント治療~歯を失った方へ最良の治療法
インプラント治療~歯を失った方へ最良の治療法
顎の骨の中に埋め込む歯根部、歯の部分に相当する上部構造と、その間を連結する支台部のおよそ3つの部分から構成されており、健康な歯を削ることなく天然の歯のような自然な感覚が甦ります。
インプラント治療は詳細にカウンセリングを行ってから、下図のように、 精密検査→埋入手術→結合期間(経過観察)→支台部取付→人工歯の装着 というステップを患者さんの状態を確認しながら行ないます。
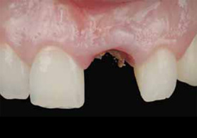
【治療前】![]() |
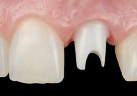
【支台部装着】![]() |
【治療後】![]() |
| ※画像はすべてイメージです | ||
インプラントは、失ったが1本から数本のケース、全歯が無く総入れ歯が合わないようなケースなどに対応しております。丁寧な説明と皆様に満足いただける治療を提供いたしますので、お気軽にご相談ください。
※インプラントは保険外診療となります。
インプラント、ブリッジや入れ歯との違いについて
従来の治療法では、入れ歯やブリッジにすると、健康な隣接歯を削り固定する必要がありました。インプラントなら健康な歯を犠牲にすることなく自然の感覚が戻り、食べ物が美味しくいただけます。インプラント![]() |
ブリッジ![]() |
入れ歯![]() |
メリット 自分の歯と同じように噛むことができ、見た目も違和感が全くありません。 |
メリット 自分の歯と同じように噛むことができ、違和感がありません。 |
メリット 口の中の型を採る程度の比較的簡単な治療ですみます。 |
デメリット インプラントを埋め込むための手術が必要で、保険適用ではないため費用がかかります。 |
デメリット ブリッジを固定するため、両隣の健康な歯を削る必要があります。セラミックのブリッジは保険外となります。 |
デメリット 硬い食べ物や、粘り気のある食べ物では苦労することがあり、異物感を感じる人もいます。チタンなどの金属床は保険外となります。 |
インプラント治療を的確に行うための設備について
■ 歯科用CTを使った正確な診査・診断
熊田歯科医院では、インプラント治療を行う際は、一般的なレントゲン画像だけではなく、歯科用CTを使って立体的に顎骨をスキャンし、3次元的にインプラントを埋め込むための最適な位置を立体的に診断します。■ 口腔内スキャナ「トリオス」で型どりデジタル化
従来のトレイに印象剤を盛って型を取るのと比べて、短時間で正確な印象採得が可能ですので患者様の負担も少なく抑えられます。また、優れたスキャニング性能により、口腔内の細部まで精密に捉えることができます。
トリオスによって採得した患者様の歯型は、デジタル処理されて前面のモニターに映し出されます。非常に細かい末端組織まで確認することができるため、治療に役だつ新アイテムです。
■ ストローマン・ガイドシステムを使用した安全にインプラント治療
このシステムを導入した目的は、患者様がインプラント治療を受ける過程で、より高い信頼性を提供するためです。患者様の口腔内の情報をPCに取り込み、術前イメージトレーニングをPC内で行うことで、治療の安全性や確実性の向上に役立っています。
ストローマン・ガイドシステムを使った治療は、これら正確性・安全性の高い治療が行えるメリットにプラスして、患者様のご身体的負担に対しても施術時間の短縮などの軽減が可能となります。
■ インプラント手術用治療
この外科用切削器であるバリオサージは、超音波によって歯肉等軟組織に痛みやダメージを与えずに治療を進められる最新の器具です。
患者様の身体の負担が少なく安全に治療が可能です。
インプラント治療のための骨再生技術
歯が抜けた部分をそのままにしておくと両側の歯が寄ってくるだけでなく、次第に抜けた箇所の顎の骨が吸収されていき骨が無くなってしまいます。骨の厚みが無くなると、一般的にはインプラント手術は難しいと言われています。しかし熊田歯科医院では、骨の厚みが少ない方に対しても人工的に骨を追加することで、インプラント治療を行えることができるようになりました。様々な増骨手術を患者さんの状態に応じて行い、骨の無い方にもインプラント治療を行っていきます。
GBR![]() |
スプリットクレスト![]() |
サイナスリフト![]() |
ソケットリフト![]() |
| 骨を増やしたい場所に骨の元となる血液を溜め人工膜で覆って骨をつくる手術法 | 骨幅を横に押し広げ、広がったところにインプラントを埋入する手術法 | 骨補填材などで上顎洞を持ち上げて、インプラントを埋入する手術法 | 骨の高さが足りない場合、上顎洞を持ち上げて、インプラントを埋入する手術法 |













